Table of Contents
Hopefully, when your dog’s stomach is hard, it was only caused by eating too much or drinking too much water too fast.
But you don't want to wait to find out, right?
When your dog's belly swells and seems as hard and tight as a drum, it may be nothing or a sign of a critical condition.
Call the vet immediately to assess their symptoms properly.
But how will I know if my dog's hardened stomach is dangerous?
In severe cases, you'll notice the following symptoms:
- Excessive drooling
- Your dog's stomach seems sensitive to touch
- Retching while trying to vomit, but nothing is happening
- Pacing around panting, looking restless, wanting to lie down
Knowing the difference between something that will go away independently and something that can cause your dog serious harm is important.
In this article, we'll discuss 7 of the most common conditions that could explain your dog's stomach is hard.
One of our resident veterinarians, Dr. Myles Rowley, DVM, also shared her valuable and expert insights in this blog post.
Let's get started.
RELATED: 5 Reasons Your Dog Has Canine Bloat and How to Prevent It
7 Possible Reasons Why Your Dog's Stomach is Hard
1. Gastric Dilation Volvulus

Gastric Dilation Volvulus, GDV for short, is a dangerous dog bloat.
It's often called the mother of all emergencies because if left untreated, your dog could die within hours.
What causes GDV?
GDV occurs if the bloated stomach, caused by food digestion or gas, rotates.
While the stomach rotates, it traps the gas inside and blocks the blood supply. When this happens, your dog will be in extreme pain.
And what's even more alarming? The risk of GDV increases when a dog eats fast.
Besides that, there are other factors that cause GDV in your dogs, which are the following:
- Age
- Breed
- Weight
- Family history
Dog breeds with deep chests or weighing over 100 pounds have a 20% higher risk of bloat.
Older dogs, between 7 and 12 years old, are at an increased risk, too.
So, if your dog's stomach is hard and you suspect that it might be suffering from GDV, watch out for the following symptoms:
- Vomiting
- Collapsing
- Rapid heartbeat
- Excessive salivation
- Restlessness and pacing
- Hard or bloated abdomen
- Heavy, fast, or difficulty in breathing
- Pale mucus membranes (including in the mouth)
- Standing with neck extended and elbows outward
To treat GDV, your dog's stomach needs to be decompressed. Once the gas is released, surgery typically follows.
To help prevent dog bloat, you can follow these suggestions at home:
- 2 small meals per day
- Choose quality dog food
- Avoid strenuous activities after eating
For giant breed dogs and other high risk breeds, it is a good idea to consider performing a procedure called a Gastropexy.
This procedure involves tacking the stomach to the body wall, and it can be incorporated into the same procedure when your dog is being spayed or neutered.
After this procedure is performed, the stomach still has the ability to bloat with gas which can be uncomfortable, but it will not rotate and result in a fatal event. – Dr. Myles Rowley DVM
RELATED: 6 Ways to Prevent and Treat Gastric Dilatation Volvulus (Dog Bloat)
2. Peritonitis
Peritonitis is a serious infection resulting from a rupture or puncture in your dog’s stomach.
Ruptures are usually a result of ulcers, tumors, or splinters from a bone your dog ate, among other reasons.
When this happens, watch out for other symptoms:
- Vomiting
- Severe pain
- Listlessness
- Swollen or hard abdomen
Because of the severity of peritonitis, your dog may be unwilling to move or might go into shock.
Treatment for peritonitis includes surgery, IV fluids, and other medications.
Avoid feeding bones to your dogs to help prevent the potential for stomach rupture or puncture, as they may splinter when digested.
3. Cushing’s Syndrome
Cushing’s Syndrome, or hyperadrenocorticism, is a common illness that's found more in dogs than in cats.
This condition is triggered by 3 types of causes, namely:
- Pituitary gland tumor
- Adrenal gland tumor
- Excessive cortisol from the use of steroids
In addition to a hardened stomach or pot-belly look, your dog may exhibit other symptoms, including:
- Hair loss
- Excessive eating
- Abnormal panting
- Increased drinking
- Frequent urination
Treating Cushing’s syndrome depends on the type of cause.
So, it's vital to have your dog assessed by a vet for proper diagnosis and treatment.
For adrenal gland tumors, surgery is a common option as part of the treatment.
RELATED: Does Pet Insurance Cover Surgery?
4. Ascites

Ascites happens when there is a buildup of fluid in the dog’s abdomen.
This buildup leads to swelling in the dog’s abdominal region.
And this fluid can be the result of many different things, including but not limited to:
- Cancer
- Heart failure
- Liver disease
- Kidney disease
- Intestinal disease
- Serious infections
- A ruptured tumor (benign or malignant)
Because such a wide range of conditions cause Ascites, there's an equally wide variety of treatments.
Treatments will depend on the specific diagnosis given by the veterinarian.
5. Blockages
Our dogs are naturally curious animals. When bored and not properly trained, they will get their paws and maws on things they shouldn't eat or swallow.
And one sign to look out for is a hard stomach.
If your dog seems to be in pain when you touch his stomach, is straining to poop, is restless, has obvious bloating, and is near a suspiciously looking piece of plastic or junk, then that's most likely a sign of intestinal blockage.
RELATED: 16 Signs Your Dog Ate Something Bad
6. Internal Bleeding
If your dog has experienced trauma or an accident, that could cause internal bleeding.
If it happened in his stomach area, the internal bleeding might cause his tummy to harden.
This is a serious case and must be addressed by your vet as soon as possible.
Other signs of internal bleeding in dogs include:
- pale to white gums
- dog's body feels cool to the touch
- difficulty breathing
- coughing up blood
- painful belly when touched
7. Parasites
Sounds gross, but our dogs' stomachs can also be home to many benign and harmful parasites.
While some can be prevented by vaccinating our dogs, others can still make their way into our dogs' stomachs because of unclean environments and interactions with infected animals, among other things.
Apart from an unnaturally hard stomach, other signs of intestinal parasites in dogs are:
- loose stool or diarrhea
- Blood in the stool
- weight loss
- An inability to gain weight
- a dull, coarse coat
- visible worms in the feces
Roundworm infestation is one common reason why your dog has a hard stomach.
RELATED: TOP #77: How to Protect Your Dog from Parasites
How to Examine Your Dog's Stomach for Hardness or Any Abnormalities
Regularly examining our dog's stomach can help us detect abnormalities early and ensure they receive prompt veterinary care.
When checking for hardness or abnormalities in your Dog's tummy area, it's important to be gentle and calm and not cause your dog discomfort or stress.
Here's what you should do:
1. Choose a quiet, comfortable area: Choose a quiet and comfortable area where your dog can relax and feel at ease.
2. Position your dog: Position your dog on their side or back and gently hold them in place.
3. Observe your dog's stomach: Observe your dog's stomach for any signs of abnormalities, such as swelling, discoloration, or lumps.
4. Gently palpate your dog's stomach: Using your fingertips, gently palpate or touch your dog's stomach, starting at the ribcage and working down towards the pelvis. Pay attention to any areas that feel hard, lumpy, or sensitive.
5. Watch for signs of discomfort: If you touch a particularly sensitive area, watch for any signs of discomfort or pain, such as whining, growling, or pulling away.
A healthy stomach should be soft to the touch.
When you gently press your hands on it, it shouldn't have any masses, bumps, or lumps.
A healthy dog shouldn't show signs of discomfort when you touch its stomach or palpate it.
And lastly, there should be no swelling or enlargement in the belly.
What to Do if Your Dog's Stomach is Hard
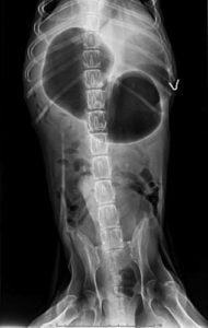
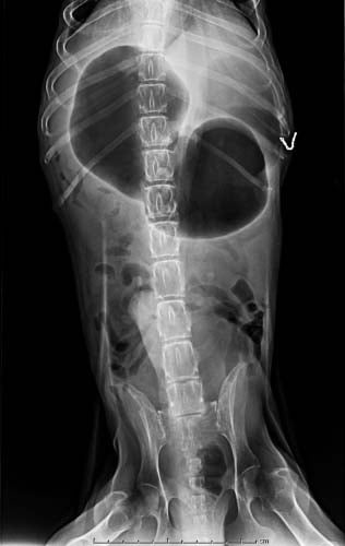
If your dog’s stomach is hard, and it's not because it ate its food quickly, take it to a veterinarian for an examination and treatment immediately.
Veterinarians will diagnose the problem by completing the following:
- X-rays
- Urinalysis
- Blood tests
- Physical exams
By supporting your dog’s overall health, you can help prevent problems leading to abdominal swelling and enlargement.
The best way to support their health is to take them in for annual checkups, which will allow your vet to ensure their vital organs are in good shape.
You can also take action at home to prevent bloat, including:
- Using gastric-friendly dog food
- Feeding your dog smaller meals
- Requiring rest instead of exercise or play after mealtime
You must act fast if your dog’s stomach is hard or swollen.
Important: Quick diagnosis and treatment can be lifesaving measures for your dog.
FAQs Related to Hard Dog Stomach
What to do when your dog’s stomach is hard?
If your dog’s stomach is hard and you don’t think it’s from eating too quickly, take your pooch to the vet immediately.
This can be a severe case of GDV, which can be fatal if not treated immediately.
How do I know if my dog's stomach hurts?
Since your dog can’t tell you if his stomach hurts, you must know the signs to look out for.
Indications include gurgling sounds from the stomach, gas, loss of appetite, salivation, diarrhea, vomiting, licking the floor, and eating grass.
What can I give my dog for a hard stomach?
If your dog seems stable, is still eating, and your vet rules out emergencies, you may try feeding bland, easily digestible foods such as plain boiled chicken and white rice, plain pumpkin purée, or bone broth to help soothe mild digestive upset.
This is only if your dog is willing to eat and shows no signs of distress, such as retching, severe bloating, or collapse.
RELATED: Chicken and Rice Recipe For Dogs with Sensitive Stomach
Is a dog's stomach supposed to be firm?
No, a healthy dog's stomach should feel soft and pliable.
A firm or hard abdomen may signal underlying health issues such as GDV, peritonitis, or ascites.
If you notice this change, consult your veterinarian promptly.
How can I flush my dog's stomach?

Before You Go: Why You Should Trust Top Dog Tips
Well, as dog owners, we also want to know as much as possible and find the truth about dog ownership.
We want to clear the fog surrounding topics like nutrition, dog care, dog health, and more.
So we went ahead and brought aboard not only long-time dog owners but veterinarians onto our website.
You can also check out our veterinary review board.
We want to ensure that each article we publish contains accurate information vetted by real veterinarians and people who have owned dogs.
Share your thoughts about this article with us in the comments section!
You can also read about other stomach-related issues our dogs often experience by clicking the links below!














